It just takes a few minutes to book a visit online.
Perfect Your Smile at Amwaj Plaza – The Walk
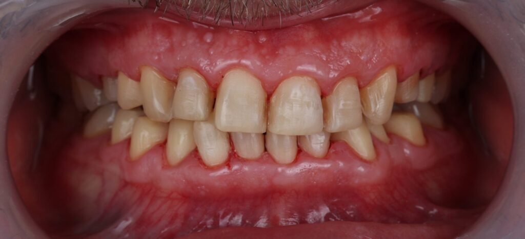
Do you feel that your gums show too much when you smile? Are uneven gum lines affecting your confidence? At our advanced dental clinic in JBR – The Walk, Amwaj Plaza, Dubai, we offer Laser Gum Lift & Reshaping to give you a more balanced, symmetrical, and confident smile — quickly and comfortably.
Laser gum lifting (also known as laser gingival contouring) is a minimally invasive cosmetic procedure that reshapes excess gum tissue using advanced dental laser technology, instantly enhancing the appearance of your teeth and smile.
A laser gum lift is a cosmetic dental procedure that removes excess gum tissue and reshapes the gum line using a precise dental laser. This creates longer-looking, well-proportioned teeth and a more even, attractive smile.
Unlike traditional surgery, laser treatment is quick, gentle, and has minimal discomfort and faster healing time.
It is one of the fastest ways to dramatically enhance your smile.
You may be an ideal candidate for a laser gum lift if you:
Our cosmetic dentist in JBR – Amwaj Plaza, The Walk will assess your gum and tooth structure and create a personalised treatment plan for you.
The entire procedure is usually completed within 30–60 minutes.
1. Smile Assessment & Planning
A digital evaluation is performed to design the ideal gum shape for your face and smile.
2. Local Anaesthesia
A small amount of anaesthesia is used for your complete comfort.
3. Laser Reshaping
A precise dental laser gently removes excess gum tissue and sculpts the new gum line.
4. Cleaning & Contouring
The treated area is cleaned and shaped to perfection.
5. Final Results
Immediate visible improvement in your smile.
The entire procedure is usually completed within 30–60 minutes.
We provide premium smile enhancement treatments in the heart of Dubai.
Excellent on Google 5.0 out of 5 based on 276 reviews
Trustindex verifies that the original source of the review is Google. Great hospitality, professional staff and well equipped dental clinic, Dr.Zeina was super professional and provided me with clear information needed for my casePosted on ShimosTrustindex verifies that the original source of the review is Google. ich möchte mich nochmals ganz herzlich bei dr Z.Taie bedanken. Ihre Arbeit war unglaublich professionell und so präzise. ich habe wirklich absolut nichts gespürt. Ich kann kaum glauben, wie einfach und angenehm die Behandlung war. Bei Ihnen fühlt man sich einfach in den besten Händen. Immer wieder gerne danke für Ihre saubere, perfekte Arbeit.“Posted on Noor alTrustindex verifies that the original source of the review is Google. Dr. Z Taie was very welcoming and easy to talk to. She explained everything clearly and made the whole experience comfortable and informative. The service at Aries Clinic was excellent, and I really appreciated how she took the time to walk me through the Invisalign process. I’m looking forward to starting the treatment she recommended!Posted on Adnaan BehardienTrustindex verifies that the original source of the review is Google. I can't say enough about Dr. Zeinb My tooth was in a difficult condition, but she treated me with such kindness. The work she did on my tooth was so precise that I didn’t feel a thing Can’t thank her enough walhe, it not my first experience with dr zeinb absolutely She’s the bestPosted on rasha elgerbiTrustindex verifies that the original source of the review is Google. Great dentist, super clean as expected and very clear with everything. Great with kids! Thanks Dr Z!Posted on Zahid ShafiTrustindex verifies that the original source of the review is Google. 10/10 service, I highly recommend Dr. Taie for any dental service, I had a great experience and my teeth feel great!Posted on Yara ZwayneTrustindex verifies that the original source of the review is Google. Amazing experience! Answered all my questions and eased my worries, as well as taught me new things by explaining well! Definitely will be coming back!Posted on Sara ZwayneTrustindex verifies that the original source of the review is Google. have always been impressed by their professionalism and quality of servicePosted on Rajan RoashanTrustindex verifies that the original source of the review is Google. My time at Aries was fantastic, Dr Z is incredibly skilled and a wizardess at what she does, not to mention hospitable as the staff provided a comfortable experience throughout the entire processPosted on omarTrustindex verifies that the original source of the review is Google. Top Beratung und Service. Meine Krone hatte sich gelöst, mir wurde schnell und unkompliziert geholfen, in einer Praxis die moderner Ausgestattet ist als die deutschen die ich kenne! Empfehlung ohne Einschränkung !Posted on Markus Jaworek
Every smile tells a story and these are just a few of the transformations Dr. Taie has guided with precision, care, and natural aesthetics. No overdone veneers. No copy-paste smiles. Just real people who wanted to feel like themselves again only more confident.








Ready to see what Laser Gum Lift® can do for your smile? Click below to book your consultation online. It only takes a minute to get started!
No, it is a painless procedure thanks to local anaesthesia and advanced laser technology.
Results are usually permanent, as gum tissue does not grow back once reshaped properly.
No major downtime. You can return to normal activities within 24 hours.
Laser technology seals blood vessels instantly, so there is little to no bleeding and no stitches required.
Initial healing takes just a few days, with full healing in 1–2 weeks.
Yes, it is often part of a complete smile makeover plan.
Yes, laser gum reshaping is a FDA-approved, safe dental procedure.
Results are visible immediately after the procedure.